
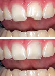
Reconstrucción Dental
Restablece forma, función y estética
Restauraciones en dientes fracturados o desgastados con materiales de alta calidad, estética y durabilidad.

Restauraciones en dientes fracturados o desgastados con materiales de alta calidad, estética y durabilidad.
